What Does Throat Cancer Look Like On An Ultrasound / Overdiagnosis Could Be Behind Jump In Thyroid Cancer Cases Wprl / What does ovarian cancer look like on an ultrasound is not an easy question to answer.
Dapatkan link
Facebook
X
Pinterest
Email
Aplikasi Lainnya
What Does Throat Cancer Look Like On An Ultrasound / Overdiagnosis Could Be Behind Jump In Thyroid Cancer Cases Wprl / What does ovarian cancer look like on an ultrasound is not an easy question to answer.. Doctoroncall is a platform where you can ask more about your health conditions. It uses sound waves to look beneath the skin at the important structures of your neck. It does not mean cancer. Within the first two days of the patient's arrival at our hospital. Some symptoms of throat cancer are specific to certain areas of the body.
Doctoroncall is a platform where you can ask more about your health conditions. If the cancer cells look like they might have come from the larynx or hypopharynx, an endoscopic exam and biopsy of these areas will be needed. Ultrasounds cannot show if any change has been caused by cancer. The ultrasound also tells us if the ovaries have a normal surface texture and whether there are cysts within the ovaries. Two in three cases of thyroid cancer occur in people under age 55, and 75%.
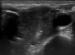
Ultrasonography Of The Thyroid Endotext Ncbi Bookshelf from www.ncbi.nlm.nih.gov A thyroid nodule can feel like a bump on the side or in the middle of the throat. Ultrasound is used to see the thyroid gland and the lymph node of the neck. Throat cancer is a condition that is characterized by the development of malignant tumors in the throat (pharynx), voice box (larynx) or tonsils. The cells are then looked at closely in the lab. In fact, the risk of cancer in any individual with thyroid nodules is. Some different types of cancers that can be detected. Throat cancer refers cancer that develops in your throat (pharynx) or voice box (larynx). Two in three cases of thyroid cancer occur in people under age 55, and 75%.
The ultrasound also tells us if the ovaries have a normal surface texture and whether there are cysts within the ovaries.
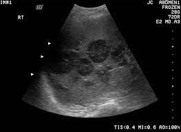
The ultrasound also tells us if the ovaries have a normal surface texture and whether there are cysts within the ovaries. If the cancer cells look like they might have come from the larynx or hypopharynx, an endoscopic exam and biopsy of these areas will be needed. The outlook depends, to some extent, on where cancer starts. Ultrasounds are usually quick and most don't require special preparation. Your throat is a muscular tube that begins behind your nose and ends in your neck. The ultrasound also tells us if the ovaries have a normal surface texture and whether there are cysts within the ovaries. The cells are then looked at closely in the lab. What does ovarian cancer look like on ultrasound ? Ultrasounds are not useful for treatment monitoring. The survival rate in this type of cancer can be as high as 90 percent provided it is detected early in stage i itself. Hashimoto's thyroiditis is the most common cause of hypothyroidism in the us. What does throat cancer look like? Your voice box sits just below your throat and also is susceptible to throat cancer.
Here are some breast cancer ultrasound images: In most cases, throat cancer originates in the flat cells that line the inside of the throat, a muscular tube that extends from the nose to the bottom of the neck. The ultrasound images are then projected onto a computer screen. The outlook depends, to some extent, on where cancer starts. An ultrasound may show your doctor if a lump is filled with fluid or if it's solid.
Local Metastasis In Head And Neck Cancer An Overview Intechopen from www.intechopen.com Your throat is a muscular tube that begins behind your nose and ends in your neck. The ultrasound also tells us if the ovaries have a normal surface texture and whether there are cysts within the ovaries. Hashimoto's thyroiditis is an autoimmune disorder in which our body produces antibodies against the thyroid causing the thyroid to become inflamed and damaged. Also, would throat cancer cause a lump like this growing on the outside of the throat/neck? Within the first two days of the patient's arrival at our hospital. It does not mean cancer. And if this isn't cancer, could anybody offer an explanation as to what would cause a sore throat and growing lump? Ultrasound exposes you to no radiation whatsoever.
Throat cancer refers cancer that develops in your throat (pharynx) or voice box (larynx).
Ultrasound is often one of the first line tests in the detection of cancer. Keep in mind, however, that an ultrasound alone cannot make the diagnosis of cancer. Ultrasounds can produce false positives. Thyroid nodules are lumps that can appear in the thyroid gland in front of the throat. They increase with age and, in fact, if you look with sensitive measures like ultrasound, over 50% of people will have thyroid nodules by the age of 50 or 60. This test will usually help determine that the nodule has a low chance of being cancerous (has characteristics of a benign nodule), or that it has some characteristics of a cancerous nodule, and therefore a biopsy is indicated. Ultrasounds are not useful for treatment monitoring. While it can't diagnose cancer, it can detect the abnormal tissues that may possibly be cancerous. A small transducer (probe) both transmits sound waves into the body and records the waves that echo back. My 3.8 year old's neck ultrasound shows chain of lymph nodes bilaterally with largest on right 14mm by 6mm and largest on left 13mm by 6mm,the left one is there since a year.few intraparotid largest 5mm.thyroid & both submandibular normal. Staging head and neck cancers The most common symptom of thyroid cancer is a hard lump on the neck—but most patients experience no symptoms at all. Doctors often use them to guide a needle during a biopsy.
Ultrasound imaging can help determine the composition of lump, distinguishing between a cyst and a tumour. The survival rate in this type of cancer can be as high as 90 percent provided it is detected early in stage i itself. Throat cancer can develop in any part of the throat. The ultrasound can help to show whether a cyst has any solid areas as it is more likely to be cancer. Two in three cases of thyroid cancer occur in people under age 55, and 75%.
Can Ultrasound Detect Cancer New Health Advisor from www.newhealthadvisor.org If the cancer cells look like they might have come from the larynx or hypopharynx, an endoscopic exam and biopsy of these areas will be needed. Keep in mind, however, that an ultrasound alone cannot make the diagnosis of cancer. Throat cancer can develop in any part of the throat. So it doesn't mean cancer? A small device called a transducer is moved over the area. Thyroid nodules are lumps that can appear in the thyroid gland in front of the throat. Hashimoto's thyroiditis is an autoimmune disorder in which our body produces antibodies against the thyroid causing the thyroid to become inflamed and damaged. What does ovarian cancer look like on an ultrasound is not an easy question to answer.
Ovarian cancer is considered as one of the deadliest for a simple reason that the symptoms are vague and it is not detected until it is too late.
While it can't diagnose cancer, it can detect the abnormal tissues that may possibly be cancerous. The cells are then looked at closely in the lab. Staging head and neck cancers An ultrasound may show your doctor if a lump is filled with fluid or if it's solid. If the cancer cells look like they might have come from the larynx or hypopharynx, an endoscopic exam and biopsy of these areas will be needed. When the thyroid becomes damaged, it stops producing thyroid hormone (hypothyroidism). Throat cancer can develop in any part of the throat. Ultrasound imaging can help determine the composition of lump, distinguishing between a cyst and a tumour. And if this isn't cancer, could anybody offer an explanation as to what would cause a sore throat and growing lump? It can detect abnormal tissues, growths, and cysts and give a suspicion of cancer based on how those images look. What does ovarian cancer look like on an ultrasound is not an easy question to answer. Some symptoms of throat cancer are specific to certain areas of the body. Effective treatment is possible in many cases.
What Does Melanoma Look Like Pictures : What Does Skin Cancer Look Like U S Dermatology Partners Blog : • wear water shoes melanoma skin cancer photos do you know what melanoma looks like? . The skin on the surface may break down and look scraped. Squamous cell carcinomas can also develop in scars or skin sores on any part of the body. Where in the body does melanoma begin? It's important to tell your doctor about any changes or new spots on the skin, or growths that look different from the. What does melanoma skin cancer look like? It can be either flat or raised, round or oval. What does melanoma look like? Become a volunteer, make a some melanomas don't fit these rules. • wear water shoes melanoma skin cancer photos do you know what melanoma looks like? The biggest clue that a spot on the skin might be melanoma is if it's changing. 6 Kinds Of Skin Cancer And Their Symptom...
Can Tonsillitis Be Mistaken For Throat Cancer / Tonsil Cancer - UCI Head and Neck Surgery - UCI ENT ... : Is outdoor air pollution making my asthma worse? . Recurring tonsillitis can be a reason that your doctor performs a tonsillectomy to remove your tonsils. Tonsillitis is a condition where the tonsils, clumps of fleshy tissue located on each side in the back of the throat, become infected by a virus or bacteria. He has been told that he is stage 2 cancer can you please tell me more about this as it is from hpv and. Tonsillitis is inflammation (swelling) of the tonsils. In most of the cases, there are no occurrence of cancerous tissue. Tonsillitis is a type of pharyngitis that typically comes on fast (rapid onset). Tonsillitis is a condition where the tonsils, clumps of fleshy tissue located on each side in the back of the throat, become infected by a virus or bacteria. If a virus is the expected cause of tonsillitis, these strategies are the only treatment. Home r...
How To Make A Credit Card Skimmer - ATM-Hacking Devices : ATM hacking / Card skimmers are small electronic devices illegally installed inside gas pumps that collect information from the magnetic strip on your credit or debit card when it is used during a transaction. . The skimmer scanner is a free, open source app that detects common bluetooth based credit card skimmers predominantly found in gas pumps. They first began to appear in florida in 2015 and have grown exponentially since. Skimming most commonly occurs in restaurants, where the card owner looses contact with the card and a purchase is made. Our skimmer is able to You can see the partially concealed graphics such as a cut off the word. How to spot and avoid credit card skimmers and shimmers. It is installed in the card reader itself, often by a crook pretending to make a. As nearly everyone has heard, target corporation, one of the largest retailers in the u.s. Credit card shimming works by inserting a sma...
Komentar
Posting Komentar